高盐饮食引发小鼠大脑认知功能缺陷

科技工作者之家  |   2018-01-17 14:38

27d486.jpg

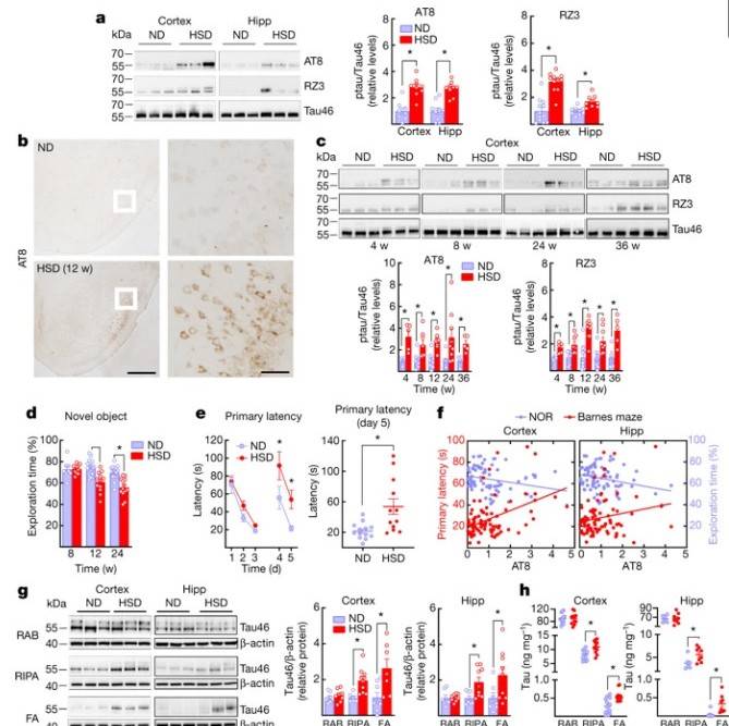
“重口味”饮食已成为大部分人日常的选择,但美国科学家14日发表在英国《自然·神经科学》杂志上的一项小鼠研究发现,高盐饮食会影响大脑健康——其导致肠道免疫系统发生变化,进而引发认知功能缺陷,而改变生活方式可能扭转这一结果。

已知高盐饮食会导致人类血压升高,增加患心血管疾病的风险。在细胞层面,过度的盐摄入会导致内皮细胞(覆盖血管的内表面,调节血管张力)功能异常,但是这种功能异常对于不同器官的长期影响一直以来并不清楚。

美国威尔康奈尔医学院的研究团队此次让小鼠摄入高盐饮食——与部分人类饮食中的高盐程度比例相当。几周后,小鼠内皮细胞出现功能异常,脑血流量减少,并且在多个行为测试中表现出认知受损,但是血压没有变化。高盐饮食也增加了小鼠肠道内TH17白血细胞的数量,并提高了这些细胞所释放的一种促炎症分子(IL-17)水平。研究人员发现,正是血流中IL-17的增加导致高盐饮食对脑血管功能和行为造成了负面影响。

虽然这些都是根据小鼠实验得出的结果,但是也表明IL-17能以类似方式影响人类脑血管内皮细胞,这意味着,高盐饮食可能对人类脑健康造成负面影响。值得注意的是,小鼠回归正常饮食或通过药物干预,可以逆转高盐饮食的后果,即改变生活方式或研发新型处方药,有望预防或帮助逆转相关后果。

来源:科技日报

相关推荐 换一换