来源:BioArt
阴茎癌在美国等发达国家约占男性所有恶性肿瘤的0.5%,而在某些非洲、亚洲和南美地区,该比例可达10%;阴茎鳞状细胞癌(penile squamous cell carcinoma,PSCC)占阴茎恶性肿瘤的95%以上【1】。与PSCC相关的危险因素包括未进行新生儿包皮环切、包茎和人类乳头瘤病毒感染(human papilloma virus,HPV)等,其中半数以上阴茎癌证实与HPV感染相关【2】。阴茎癌的标准治疗方案仅限于手术、放疗和化疗,预后较差,5年生存率约为50%;晚期PSCC的治疗主要是基于顺铂的化疗,中位总生存期(overall survival,OS)在5至12个月之间【3】。PSCC进展或复发的患者对挽救治疗的反应较差(OS <6个月)【4】。由于缺乏实验工具,导致PSCC启动和进展的精确分子机制目前仍不明确。更重要的是由于相关动物模型的缺乏,治疗策略在进入临床之前很难得到全面有效的评估。
近日,Nature Communication在线发表了Notre Dame大学的Xin Lu团队的研究:Effective combinatorial immunotherapy for penile squamous cell carcinoma(第一作者:黄天河)。研究探讨了对该类肿瘤的有效免疫治疗方案。
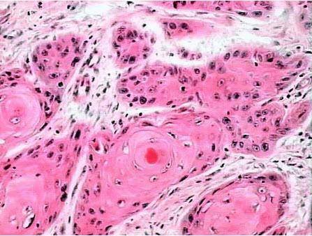
在本研究中,通过操纵与HPV致癌相关的TGFβ/Smad和Wnt/Apc/β-catenin两条信号通路在阴茎的雄激素反应性上皮细胞中共敲除Smad4和Apc(SA小鼠模型)第一次构建了PSCC的基因工程小鼠模型(genetically engineered mouse,GEM)。在组织学上,该GEM的自发阴茎肿瘤中含有明显的角化珠,与人PSCC的病理学特征相似。
下面,他们进行了转录组学分析,发现小鼠PSCC中多种信号通路显著异常,尤其是涉及炎症和免疫相关的信号分子(如COX-2和SOX-2)。通过CyTOF分析发现在PSCC中有大量骨髓源抑制性细胞(myeloid-derived suppressor cell,MDSC)浸润;随后的临床前试验证实免疫检查点阻断(immune checkpoint blockade,ICB)与抑制MDSC的Cabozantinib或COX-2抑制剂Celecoxib具有协同抗PSCC作用。
PSCC的一个关键临床问题是对顺铂耐药,这主要与Pten缺失有关;在敲除Smad4和Apc的基础上敲除Pten的表达(SAP小鼠模型),该GEM产生了恶性度更高的PSCC并且对顺铂耐药。通过蛋白组学发现多种蛋白在SA和SAP肿瘤中上调表达,这些蛋白参与细胞代谢、细胞运动性和形态、细胞周期以及干细胞特性的调节。有趣的是,与高危HPV感染相关的p16INK4a在SA和SAP肿瘤中均显著上调表达。随后,本研究体外培养了SA和SAP肿瘤细胞并成功构建了PSCC的相关细胞系。在对比了人和GEM的PSCC中前200个上下调基因后发现SA肿瘤中有52%的基因与人PSCC重合,SAP肿瘤中有63%的基因与人PSCC重合。综上所述,本研究中GEM产生的两种PSCC与人PSCC具有高度相关性;联合ICB与抑制MDSC可以有效治疗PSCC;为PSCC相关的治疗提供强有力的研究工具。

图. GEM的PSCC与人PSCC的病理学特征相似
人PSCC病例中,40%至60%患者组织中PD-L1阳性表达,且与预后不良和肿瘤浸润的淋巴细胞数量相关【5】。目前,有多个ICB相关临床试验招募PSCC患者(例如NCT02837042,NCT02721732,NCT03333616,NCT02834013和NCT03391479)。本研究中的数据表明将免疫疗法与Cabozantinib或者Celecoxib联合起来有可能在PSCC的治疗中收获更好的临床效果。最近, BMS与Exelixis联合宣布在晚期或转移性肾细胞癌的III期CheckMate-9ER研究中联合PD-1抗体nivolumab(Opdivo)与Cabozantinib相比标准疗法sunitinib可以显著改善患者无进展生存期(progression free survival,PFS)和OS 【6】。此外,基于本文实验结果,作者建议HPV状态不应成为将PSCC患者纳入免疫疗法临床试验的标准。目前尚无证据表明PD-L1表达与HPV感染相关,且在HPV阴性的PSCC中同样存在高表达的募集MDSC相关的细胞因子。因此,他们主张治疗HPV阳性和阴性PSCC时均可使用ICB与抑制MDSC的药物联合的策略。
原文链接:https://www.nature.com/articles/s41467-020-15980-9.pdf参考文献
1. Clark, P. E. et al. Penile cancer: clinical practice guidelines in oncology. J. Natl Compr. Cancer Netw. 11, 594–615 (2013).
2. Olesen, T. B. et al. Prevalence of human papillomavirus DNA and p16INK4a in penile cancer and penile intraepithelial neoplasia: a systematic review and meta-analysis. Lancet Oncol. 20, 145–158 (2019).
3. Pagliaro, L. C. et al. Neoadjuvant paclitaxel, ifosfamide, and cisplatin chemotherapy for metastatic penile cancer: a phase II study. J. Clin. Oncol. 28, 3851–3857 (2010).
4. Wang, J., Pettaway, C. A. & Pagliaro, L. C. Treatment for metastatic penile cancer after first-line chemotherapy failure: analysis of response and survival outcomes. Urology 85, 1104–1110 (2015).
5. Udager, A. M. et al. Frequent PD-L1 expression in primary and metastatic penile squamous cell carcinoma: potential opportunities for immunotherapeutic approaches. Ann. Oncol. 27, 1706–1712 (2016).
6. Bristol Myers Squibb and Exelixis Announce Positive Topline Results from Pivotal Phase 3 CheckMate-9ER Trial Evaluating Opdivo (nivolumab) in Combination with Cabometyx (cabozantinib) in Previously Untreated Advanced Renal Cell Carcinoma [news release]. Princeton, NJ and Alameda, CA. Published April 20, 2020. news.bms.com/press-release/corporatefinancial-news/bristol-myers-squibb-and-exelixis-announce-positive-topline-re. Accessed April 20, 2020
来源:BioGossip BioArt
原文链接:http://mp.weixin.qq.com/s?__biz=MzA3MzQyNjY1MQ==&mid=2652485004&idx=7&sn=c7c225d2866832f26c7ca6b258bb6d72&chksm=84e22638b395af2e985e20092d88bccd9eb65cd4632c864333020960006c477bdef15e29b65a&scene=27#wechat_redirect
版权声明:除非特别注明,本站所载内容来源于互联网、微信公众号等公开渠道,不代表本站观点,仅供参考、交流、公益传播之目的。转载的稿件版权归原作者或机构所有,如有侵权,请联系删除。
电话:(010)86409582
邮箱:kejie@scimall.org.cn