来源:中国科学院
临床案例曾报告,精神分裂症患者对诸如心肌梗塞、化脓性阑尾炎等疾病缺少疼痛相关的反应,即精神分裂症患者可能表现出疼痛敏感性下降。疼痛敏感性的下降可能延误医生对精神分裂症患者躯体疾病的诊断及治疗,致使患者健康状况恶化,甚至威胁其生命,增加精神分裂症患者的死亡率和伤残率,严重影响患者预后。目前,有关这一现象的神经机制尚不明确,缺乏相关研究。关注精神分裂症患者的疼痛敏感性及其内在的神经机制,有助于加强对患者躯体疾病的诊断和治疗,促进其临床康复。
鉴于上述问题,中国科学院心理研究所心理健康重点实验室研究员胡理与北京回龙观医院精神医学研究中心主任医师谭淑平开展了合作项目,结合行为测量、脑电和磁共振成像技术,通过比较多模态感觉刺激(痛觉、触觉和听觉)诱发的行为反应和脑响应特征,系统研究精神分裂症患者疼痛敏感性的特性及其内在神经机制。
该研究分两个实验进行。实验一基于神经电生理的视角,采用多模态感觉刺激——反应范式,考察精神分裂症患者疼痛敏感性的变化是否具备模态特异性,并结合各个电生理特征的功能意义,探讨刺激前神经振荡信号、刺激诱发电位与精神分裂症患者疼痛敏感性之间的关系。实验二则基于神经影像学的视角,结合fMRI高空间分辨率的优势,通过比较两组人群在与疼痛信息处理相关的动态脑响应特征和静息态脑功能连接的差异,从功能层面进一步解析精神分裂症患者疼痛敏感性变化的神经机制。
通过上述实验研究发现:
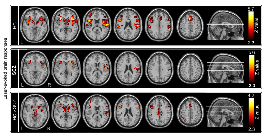
(1)与健康人群相比,精神分裂症患者对疼痛刺激不敏感,表现为患者对疼痛的主观强度评分较低、激光疼痛诱发电位各成分振幅较低和潜伏期较长(图1)、激光疼痛诱发BOLD脑响应较低(图2)。
(2)精神分裂症患者的刺激前α神经振荡的幅度明显大于健康人群,并且刺激前低频α振荡(6-7Hz)与疼痛主观强度评分之间存在显著的负相关性。这表明,精神分裂症患者刺激前α神经振荡的异常可能成为其疼痛不敏感的内在原因之一。
(3)精神分裂症患者的疼痛不敏感可能还涉及与疼痛上行和下行调节相关的通路,以丘脑和中脑导水管周围灰质(二者分别为上行和下行疼痛调节通路中的关键节点)为种子点的功能连接分析显示:与健康人群相比,精神分裂症患者中丘脑与右侧初级躯体感觉皮层、右侧次级躯体感觉皮层和左侧后脑岛的功能连接增强,中脑导水管周围灰质与右侧后脑岛、辅助运动区、背侧前扣带回和背外侧前额叶的功能连接减弱(图3)。
该研究揭示了精神分裂症患者疼痛敏感性异常的复杂本质,也提示临床医疗应重视对精神分裂症患者疼痛的评估,以改善患者预后,提高其生活质量。
该研究获得国家自然科学基金委项目(31671141和31822025)、中科院信息化专项(XXH13506-306)和心理所科研启动基金(Y6CX021008)的资助。相关研究成果已在线发表于Human Brain Mapping。
论文链接

图1 精神分裂症患者与健康人群在多模态感觉刺激诱发的脑响应差异

图2 精神分裂症患者与健康人群在疼痛刺激诱发的BOLD脑响应差异

图3 精神分裂症患者与健康人群在基于种子点的静息态功能连接差异
来源:中国科学院
原文链接:http://www.cas.cn/syky/201912/t20191226_4729385.shtml
版权声明:除非特别注明,本站所载内容来源于互联网、微信公众号等公开渠道,不代表本站观点,仅供参考、交流、公益传播之目的。转载的稿件版权归原作者或机构所有,如有侵权,请联系删除。
电话:(010)86409582
邮箱:kejie@scimall.org.cn